Dabiski balts smaids, kas paliek atmiņā

Smaids, kas uzlabots ar zobu venīriem.

Pacientes sapnis bija izteikti spilgti balti un perfekta izskata zobi. Pēc tam, kad bija izmēģināta zobu balināšana, kas nesniedza vēlamo rezultātu, paciente vērsās pie Dr. Bites, lai iegūtu savu perfekto smaidu. 

Konsultācijā kā piemērotākais risinājums tika izvēlēta biomimētisku venīru uzlikšana augšžoklī. Nedaudz noslīpējot zobu emalju, 10 zobiem tika uzlikti venīri.

Kopā ar Dr. Biti tika izvēlēta pacientes vēlmēm atbilstoša venīru forma un krāsa – tīri balti un gludi, ar minimālu reljefu. Neskatoties uz to, ka zobi ir tīri balti un perfekti, tie joprojām izskatās pavisam dabiski.

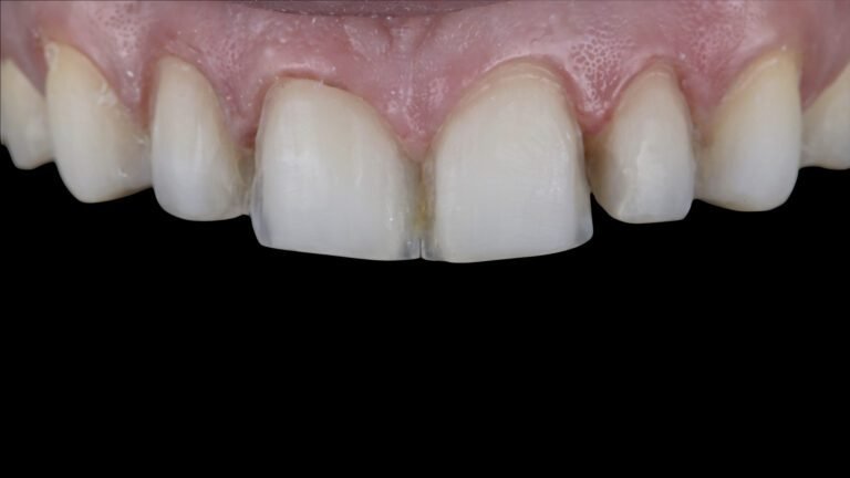
Sākotnējā situācija Situācija pirms zobu venīriem - nodiluši, trausli zobi. DrBite Venīriem sagatavoto zobu izskats Zobu slīpēšana priekš venīriem. DrBite Uzcementēti venīri Mazinvazīvi, biomimētiski un gaiši venīri. DrBite

Ilgums un izmaksas

Ārstēšanas laiks:
2 mēneši
Izmaksas:
8 000 eiro

Citi izpētes stāsti

Smaids, kas iztur – venīri trauslu zobu stiprināšanai
Ārstēšanas laiks: 1 gads un 3 mēneši
Izmaksas: 12 000 eiro
Lasīt vairāk
Risinājums īsiem zobiem un pārmērīgām smaganām
Ārstēšanas laiks: 2 mēneši
Izmaksas: 6 000 eiro
Lasīt vairāk
sbi_17847286071238135
sbi_17899288298930117
sbi_17899401983966302
sbi_17905283249861299
sbi_17926609589897223
sbi_17936192660729079
sbi_17966518664678992
sbi_17994034085424639
sbi_17999893136226654
sbi_18008033552458981
sbi_18008154131025753
sbi_18024464560891187
sbi_18024977845744838
sbi_18030596449690725
sbi_18032613565773365
sbi_18035469301786657
sbi_18071848612482187
sbi_18223283902302225
sbi_18431882401000616
sbi_18433969633063110
Instagram: @drarnoldsbite
Ir pienācis laiks sev sniegt skaistu smaidu  Ir pienācis laiks sev sniegt skaistu smaidu