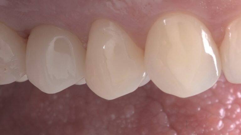
Sadzijis zobu implants pēc procedūras.

Zobu implanti ir mākslīgi zoba saknes aizstājēji, kas tiek ievietoti žokļa kaulā. Tie ir izgatavoti no titāna un cirkonija un ir bioloģiski saderīgi ar cilvēka audiem. Uz zobu implantiem pēc to ievietošanas stingri fiksē zoba kroni, tiltu vai izņemamu protēzi. Zobu protēzes, kas tiek balstītas uz zobu implantiem, vizuāli un funkcionāli neatšķiras no dabīga zoba.

Zobu implantu priekšrocības

Zobu implantu ievietošana ir mūsdienīga ārstēšanas metode, ar ko zaudēta zoba gadījumā ir iespējams atgūt skaistu smaidu. Implants sajūtas un kopšanas ziņā ir identisks īstajam zobam.

Zobu implantu ievietošanas procedūra

Zoba implants ir neliela skrūve, kas tiek ievietota žokļa kaulā, un uz kuras vēlāk tiek stiprināta zoba protēze. Zoba implanta ievietošanas procedūra aizņem aptuveni 30 minūtes un ir nesāpīga, tā tiek veikta zem vietējās anestēzijas. Tās laikā radusies brūce smaganā tiek slēgta ar šuvēm. Šuvju izņemšanu parasti veic nedēļu pēc procedūras.

Kad implants ir ieaudzis žoklī un smagana ir sadzijusi, var uzsākt protezēšanu. Dzīšanas laiks katram pacientam ir individuāls. Vidēji apakšžoklī tie ir 1 līdz 2 mēneši, augšžoklī – 3 līdz 4 mēneši. Dzīšanas laikā ir iespējams lietot pagaidu izņemamo zobu protēzi, lai saglabātu smaida estētiku.

Kad ievietot zoba implantu?

Zoba implantu ir iespējams ievietot neatkarīgi no tā, cik sen ir zaudēts dabīgais zobs. Taču, ja iespējams, ir ieteicams zoba implantu ievietot pēc iespējas ātrāk. Ja žoklī trūkst zoba, izmainās sakodiens, un tas var apgrūtināt ēdiena nokošanu un sakošļāšanu. Izmaiņas sakodienā var radīt lielāku slodzi uz citiem zobiem, veicinot to nodilšanu. Citi žoklī esošie zobi var pārvietoties vai sagāzties, tā veidojot spraugas starp zobiem un izmainot sejas vaibstus.

Zobu implantu ievietošanas process

SOLIS 1
Ārstēšanas plāna sastādīšana

Dr. Bite veic pilnu mutes dobuma apskati un, ja nepieciešams, izņem bojāto zobu. Vizītes laikā veikts 3D rentgens, lai iegūtu informāciju par zobu stāvokli, žokļa kaula anatomiju un kaula un mīksto audu apjomu implanta ievietošanas vietā. Tas nepieciešams, lai piemeklētu individuāli atbilstošu implanta izgatavotāju un izmēru. Ja pacientam ir nepietiekams kaula vai kaula un mīksto audu apjoms implanta ievietošanai, pirms implanta ievietošanas tiek veikta audu apjoma palielināšana.

SOLIS 2
Implanta ievietošana

Aptuveni 30 minūšu garas procedūras laikā zoba implants tiek ieskrūvēts žokļa kaulā. Procedūra ir nesāpīga un tiek veikta ar lokālās anestēzijas palīdzību. Brūce smaganā tiek slēgta ar šuvēm. Šuves tiek izņemtas vidēji 10 dienas pēc procedūras vai tās pašas uzsūcas.

SOLIS 3
Dzīšanas process

Lai izgatavotu kroni uz implanta, tam nepieciešams ieaugt kaulā, un brūcei ir jāsadzīst. Dzīšanas procesam apakšžoklī vidēji nepieciešami 3 līdz 4 mēneši, taču šis laiks katram pacientam var individuāli atšķirties. Šajā laikā ir iespējams izgatavot pagaidu risinājumu, lai saglabātu smaida estētiku.

SOLIS 4
Protēzes sagatavošana

Lai izgatavotu zoba protēzi, zobārsts veic digitālus zobu nospiedumus. Tos nosūta uz zobu tehnisko laboratoriju, kurā zobu tehniķi modelē protēzi.

SOLIS 5
Protēzes ievietošana

Kad zoba implants ir sadzijis un protēze ir izgatavota, zobārsts to nostiprina uz implanta.

Zobu implantu cenas un ārstēšanas ilgums

Ārstēšanas ilgums:
3 līdz 9 mēneši
Izmaksas:
1800 €*
Ārstēšanas izmaksas iekļauj implanta ievietošanu un pastāvīgo kroni.
* ārstēšanas ilgums un izmaksas var atšķirties. Precīzas individuālās izmaksas tiek aprēķinātas konsultācijas laikā.

Pieredzes stāsti

Dabiski balts smaids, kas paliek atmiņā
Ārstēšanas laiks: 2 mēneši
Izmaksas: 8 000 eiro
Lasīt vairāk
Smaids, kas iztur – venīri trauslu zobu stiprināšanai
Ārstēšanas laiks: 1 gads un 3 mēneši
Izmaksas: 12 000 eiro
Lasīt vairāk
Risinājums īsiem zobiem un pārmērīgām smaganām
Ārstēšanas laiks: 2 mēneši
Izmaksas: 6 000 eiro
Lasīt vairāk

Mūsu pacientu atsauksmes

Estētiskās zobārstniecības un zobu restaurācijas materiāli
alina-valkova Alina Valkova
I’m absolutely thrilled! The doctor did such delicate, meticulous work that my veneers look even better than I could have imagined. They’re so natural and harmonious that my smile has become my favorite part of me. Thank you so much for your talent and professionalism!
rihards-leppiks Rihards Leppiks
This specialist performed a huge project on me – made my smile! I am very satisfied. Everything was planned and made step-by-step in an understandable manner. Utmost detailed approach to full clients satisfaction. I also finally got rid of dentophobia. Individual and personal approach. Thanks a lot! I recommend to all! Very highly appreciated! I am sure this doctor has a bright professional future!
urzula-brence Urzula Brence
Absolutely amazing ⭐️
Super professional
My total trust in Arnolds Bite

Biežāk uzdotie jautājumi

Vai zobu implanti ir droši?

Zobu implantu ievietošana ir droša un plaši izmantota zobu restaurācijas metode. Taču, kā jebkurai operācijai, arī implantu ievietošanai pastāv zināms komplikāciju risks. Konsultācijas laikā Dr. Bite iepazīstinās Jūs ar implanta ievietošanas procesu un atbildēs uz visiem jautājumiem.

Vai zoba implanta ievietošana ir sāpīga?

Zoba implantu ievieto 20 minūšu īsas procedūras laikā, un tā tiek veikta zem lokālās anestēzijas. Procedūras laikā pacients var just spiedienu, taču tā nav sāpīga.

Vai zoba implantu ir iespējams izņemt?

Nepieciešamības gadījumā zoba implantu ir iespējams izņemt, taču tā ir sarežģīta procedūra. Zoba implants tiek izmantots kā pastāvīgs risinājums, ko nav paredzēts izņemt. Tā izņemšanu zobārsts apsver tikai nopietnas infekcijas, traumas vai citu komplikāciju rezultātā.

Cik zobus ir iespējams aizvietot ar implantiem?

Zobu implantus var izmantot gan viena, gan vairāku zobu aizvietošanai. Tos iespējams apvienot ar citām ārstēšanas metodēm, piemēram, zobu tiltiem vai protēzēm.

Vai pēc zoba implanta ievietošanas ir iespējams ēst kā ierasts?

Pēc zoba implanta ievietošanas dažas dienas var būt nepieciešams ēst mīkstu ēdienu līdz sadzīst šuvju uzlikšanas vietas. Pēc tam ir iespējams pamazām atgriezties pie ierastās ēdienkartes.

Ir pienācis laiks sev sniegt skaistu smaidu  Ir pienācis laiks sev sniegt skaistu smaidu