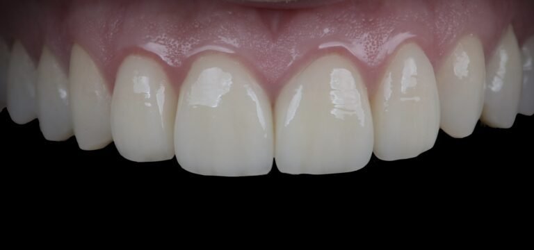
Cirkonija keramikas kroņi četriem priekšzobiem

Zobu kroņi ir zobu protezēšanas metode, ko izmanto, lai restaurētu bojātu zobu un atgrieztu tā funkciju, kā arī pasargātu bojāto zobu no lūzuma. Kroņus izmanto gadījumā, ja dabiskais zobs ir zaudējis vairāk nekā 50% audu apjoma. Zobu kroņi tiek izmantoti sarežģītos gadījumos, kad liela bojājuma dēļ zobam nav iespējams ievietot plombu. Tāpat zobu kroņus var izmantot arī zobu estētikas uzlabošanai, koriģējot zoba formu un krāsu, lai gan primārais dizains estētikas uzlabošanai ir venīri.

Kronis uz implanta

Ja zobs ir zaudēts pavisam, piemēram, traumas rezultātā, zoba kroni ir iespējams stiprināt arī uz implanta jeb mākslīgā zoba saknes aizstājēja, kas tiek ievietots žokļa kaulā. Zoba kronis, kas tiek balstīts uz implanta, vizuāli un funkcionāli neatšķiras no dabīga zoba.

Mūsu pieeja kroņu uzlikšanā

Mēs savā darbā izmantojam biomimētiskās zobārstniecības pieeju. Biomimētiskās zobārstniecības galvenā prioritāte, veicot kosmētiskas un funkcionālas zobu restaurācijas, ir saglabāt pacienta zobu veselību un radīt estētisku rezultātu, izmantojot izturīgus materiālus, kas imitē dabīgo zobu struktūru. Uzliekot zoba kroni, tiek noslīpēts iespējami maz veselā zoba audu apjoma. Atbilstoša materiāla, formas un toņa prasmīgi uzstādītu zoba kroni ir neiespējami atšķirt no dabīgā zoba.

Zobu kroņu priekšrocības

Zobu kroņu veidi

Zobu kroņus mūsdienās veido no dažādiem materiāliem, un to izvēli nosaka tādi aspekti kā sakodiena spēks, zoba audu trūkuma apjoms, zoba krāsa un citi. Visbiežāk zobu kroņiem izmanto cirkonija, frēzētas vai presētas keramikas materiālus un retākos gadījumos arī metālkeramiku. Dr. Bite palīdzēs izvēlēties Jūsu vēlmēm un vajadzībām atbilstošāko risinājumu.

 

Kroņu uzlikšanas process

SOLIS 1
Konsultācija

Vispirms tiek veikta mutes veselības pārbaude. Tās laikā tiek pārbaudīta zobu veselība un veikts rentgens. Konsultācijas laikā dr. Arnolds Bite palīdzēs izvēlēsieties Jums atbilstošāko zoba kroņa materiālu

SOLIS 2
Zoba sagatavošana

Zobam tiek izņemtas vecās plombas, tas tiek apslīpēts un uz tā tiek uzlikts pagaidu kronis un paņemti nospiedumi.

SOLIS 3
Kroņa izgatavošana

Lai izgatavotu kroni, zobārsts noņem nospiedumus, ko vēlāk aizsūta uz zobu tehnisko laboratoriju. Kroņa izgatavošana aizņem 2 nedēļas.

SOLIS 4
Kroņa piemērīšana

Kad zoba kronis ir izgatavots, tiek ieplānota piemērīšanas vizīte. Tās laikā tiek pārbaudīta kroņa precizitāte, krāsas atbilstība un sakodiens. Nepieciešamības gadījumā tiek veiktas korekcijas. Ja viss atbilst kritērijiem, tas jau šajā vizītē tiek cementēts uz zoba.

SOLIS 5
Kroņa uzlikšana

Pēc korekciju veikšanas zoba kronis tiek piestiprināts ar īpašu zobārstniecības cementu. Ja nepieciešams, tiek veiktas pēdējās korekcijas, lai nodrošinātu pareizu sakodienu.

Kroņu cenas un ārstēšanas procesa ilgums

Ārstniecības ilgums:
1 līdz 3 nedēļas
Izmaksas:
Kronis uz zoba – 650 €* Kronis uz implanta – 950 €*
Ārstēšanas izmaksas iekļauj kroņa izgatavošanu un uzlikšanu.
* ārstēšanas ilgums un izmaksas var atšķirties. Precīzas individuālās izmaksas tiek aprēķinātas konsultācijas laikā.

Pieredzes stāsti

Dabiski balts smaids, kas paliek atmiņā
Ārstēšanas laiks: 2 mēneši
Izmaksas: 8 000 eiro
Lasīt vairāk
Smaids, kas iztur – venīri trauslu zobu stiprināšanai
Ārstēšanas laiks: 1 gads un 3 mēneši
Izmaksas: 12 000 eiro
Lasīt vairāk
Risinājums īsiem zobiem un pārmērīgām smaganām
Ārstēšanas laiks: 2 mēneši
Izmaksas: 6 000 eiro
Lasīt vairāk

Mūsu pacientu atsauksmes

Estētiskās zobārstniecības un zobu restaurācijas materiāli
alina-valkova Alina Valkova
I’m absolutely thrilled! The doctor did such delicate, meticulous work that my veneers look even better than I could have imagined. They’re so natural and harmonious that my smile has become my favorite part of me. Thank you so much for your talent and professionalism!
rihards-leppiks Rihards Leppiks
This specialist performed a huge project on me – made my smile! I am very satisfied. Everything was planned and made step-by-step in an understandable manner. Utmost detailed approach to full clients satisfaction. I also finally got rid of dentophobia. Individual and personal approach. Thanks a lot! I recommend to all! Very highly appreciated! I am sure this doctor has a bright professional future!
royal-sun Royal Sun
I wholeheartedly recommend Sirowa and especially Dr. Arnold Biti. If a professional, individual and meticulous approach to details is important to you, as well as an aesthetically perfect smile, then you will not find anything better than Arnold in Latvia. Believe me – everything has been tried. 😁
Thank you Arnold and the Antonevičas girls! 😉

Biežāk uzdotie jautājumi

Kad izmanto zobu kroņus?

Kroņus izmanto gadījumā, ja dabiskais zobs ir zaudējis vairāk nekā 50% audu apjoma, lai restaurētu bojāto zobu un atgrieztu tā funkciju.

Vai ar zobu kroņiem var uzlabot smaida estētiku?

Zobu kroņus var izmantot arī zobu estētikas uzlabošanai, koriģējot zoba formu un krāsu. Taču primārā izvēle smaida estētikas uzlabošanai ir venīri.

Vai zobu kroņi bojā zobus?

Zobu kroņus galvenokārt izmanto bojāta zoba gadījumā, lai atjaunotu tā funkciju un estētisko pievilcību. Kronis stiprina bojāto zobu un pasargā to no nodilšanas un lūzuma riska.

Vai zoba kronis izskatās dabiski?

Atbilstoša materiāla, formas un toņa prasmīgi uzstādītu zoba kroni ir neiespējami atšķirt no dabīgā zoba.

Ir pienācis laiks sev sniegt skaistu smaidu  Ir pienācis laiks sev sniegt skaistu smaidu